The term "Nick Bosa racist" is used to refer to allegations of racism against American football player Nick Bosa. These allegations stem from a 2016 socia...
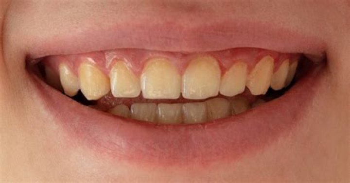
Swimmers have yellow teeth due to a condition called swimmers calculus. This condition is caused by the prolonged exposure to chlorinated water in swimmin...
Publish date: 2023-12-31Many people want to learn more about Albert ezerzer and seek him on Wikipedia. Albert Ezerzer was an actor who worked on various A...
01 Jan 2024, 00:00Eldrick Tont Woods (born on 30 December 1975) or Tiger Woods is a professional American golfer, hailed by pundits as one of the greates...
Kurt Warner's daughter, Jesse Jo Warner, is an author, speaker, and advocate for mental health awareness. She is the daughter of former NFL quarterba...
The leaked OnlyFans content of Belinda Nohemy refers to the unauthorized distribution of private and sexually explicit videos and images of the Mexican si...
24 Jan 2024, 00:00"Devious Maids" season 2, episode 11 spoilers are here and Nick's secrets might finally be revealed as Valentina finds herself in ...
Age, Biography and WikiLucky Blue Smith was born on 4 June, 1998 in Spanish Fork, Utah, United States, is a Model. Discover Lucky Blue Smith's Biogra...
The Bonner County Daily Bee is a local newspaper serving Bonner County, Idaho. It was founded in 1892 and is the oldest continuously published newspaper i...
Paul Stanley is an American musician, singer-songwriter, and painter who is best known as the rhythm guitarist and co-lead vocalist of the rock band, Kiss...